Festsitzende Zahnprothesen
Wenn die natürlichen Zähne aus ästhetischen oder funktionalen Gründen gefährdet sind und nicht mit einer Restaurierung (Füllung) wiederherstellbar sind, muss ein Zahnersatz verwendet werden. Die festen Zahnprothesen werden am Zahn durch Zementierung verankert, so dass sie vom Patienten nicht entfernt werden können. Diese Art der Prothesen sind unterteilt in:
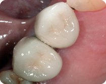
- Krone: Prothesen für einzelne Zähne mit Erhaltung der natürlichen Wurzel.
- Brücken: Sie werden benötigt, wenn ein Zahn ersetzt werden muss, es jedoch nicht möglich ist ein Titanimplantat in den Knochen einzufügen. In so einem Fall werden die benachbarten Zähne als Säulen der Zahnprothese, die den fehlenden Zahn ersetzt, verwendet.
- herkömmliches Keramik-Metall: die Metall-Legierung fungiert als eine unterstützende Unterkonstruktion der Keramik.
- Metallfreie Ästhetik: Die Zahnprothese wird aus metallfreiem Material (Lithium-Disilicate), das als besonderes Merkmal über eine ähnlicheTransluzenz verfügt, wie der natürliche Zahnschmelz.
- Ästhetische Kronen aus Zirkonkeramik: die Unterstruktur der Keramikstütze besteht aus einem Metall, “Zirkonium” gennant, das die besondere Eigenschaft hat weiß zu sein. Die Herstellung erfolgt mit dem Gebrauch der CAD-CAM-Technik. Die Ästhetik wird durch die charakteristische, dem natürlichen Zahnschmelz ähnliche, Durchsichtigkeit der Keramik gekennzeichnet.
FESTSITZENDE ZAHNPROTHESEN AUF IMPLANTATEN
Falls die Verwendung des gefährdeten Zahns als Grundlage für die Zahnprothese nicht möglich ist, muss auf die Verwendung von osteointegrierten Titanimplantaten zurückgegriffen werden. Mit dieser Technik können einzelne Zähne (mit Kronen) oder mehrere Zähne (mit Brücken) ersetzt werden. Wenn jedoch eine ganze Arkade ersetzt werden muss, werden für den Halt des vollständigen Gebisses weitere Implantate eingesetzt, die sich in Folgendes unterteilen:
- Kunstharzbrücke Toronto Bridge:
die Zahnprothese wird aus einem geschweißten Titangestell und Harz erstellt und ersetzt bis zu 12 Zähne und wird direkt auf nur 4-6 Implantate geschraubt (abhängig von der Knochenbeschaffenheit). - Kunstharzbrücke Toronto Bridge aus Keramik:
hat dieselbe Struktur wie die Toronto Brücke aus Composite, zeichnet sich gegenüber der Toronto Brücke aus Harz mit einer dünneren Struktur aus, jedoch ändert sich die Beschichtung, die aus Schichtkeramik besteht und eine verbesserte Ästhetik gewährleistet. - Keramik-Ring:
mithilfe von 8 Implantaten wird eine Zahnprothese aus Keramik-Metall oder Zirkonkeramik hergestellt, die nicht direkt auf die Implantate geschraubt sondern stattdessen auf die Titanstifte zementiert wird. Die Stifte sind Verlängerungen der Implantate, die aus dem Zahfleisch ragen. Die Struktur des Implantats + Stifts reproduziert die natürliche Zahnstruktur von Zahnwurzel und Zahnkrone mit einem natürlichen, ästhetischen Ergebnis, auch dank der Tatsache, dass sie dünner ist und kein künstliches Zahnfleich benötigt, das normalerweise den Unterbau kaschiert. - Toronto Brücken aus Composite:
diese feste Prothese wird aus einem starrem und den natürlichen Zähnen ähnlichem Material gemacht und zeichnet sich gegenüber der Toronto Brücke aus Harz mit einer dünneren Struktur aus. Ästhetisch gesehen ist das Aussehen mit der Keramik vergleichbar. Diese Art von Prothesen sind besonders für Bruxismus-Patienten geeignet.
